Địa chỉ
530 Lý Bôn, P. Trần Hưng Đạo, Tỉnh Hưng Yên
Hotline Trực KHTH
0346.360.808
Đăng ký khám
0868.530.112 0352.663.895
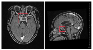
Khoa Phẫu thuật thần kinh – Cột sống, Bệnh viện Đa khoa (BVĐK) Thái Bình
Tên tài khoản hoặc địa chỉ email *
Mật khẩu *
Ghi nhớ mật khẩu Đăng nhập
Quên mật khẩu?