Khoa Phẫu thuật thần kinh – Cột sống, Bệnh viện Đa khoa (BVĐK) Thái Bình đã làm chủ và thực hiện thành công kỹ thuật phẫu thuật nội soi u tuyến yên qua đường mũi – một kỹ thuật cao thường chỉ được thực hiện tại các bệnh viện tuyến Trung ương. Sự kiện này đưa BVĐK Thái Bình trở thành một trong số ít các bệnh viện tuyến tỉnh trong khu vực tiên phong triển khai thành công kỹ thuật chuyên sâu này.
Ca bệnh phức tạp và thách thức từ vị trí khối u “hiểm yếu”
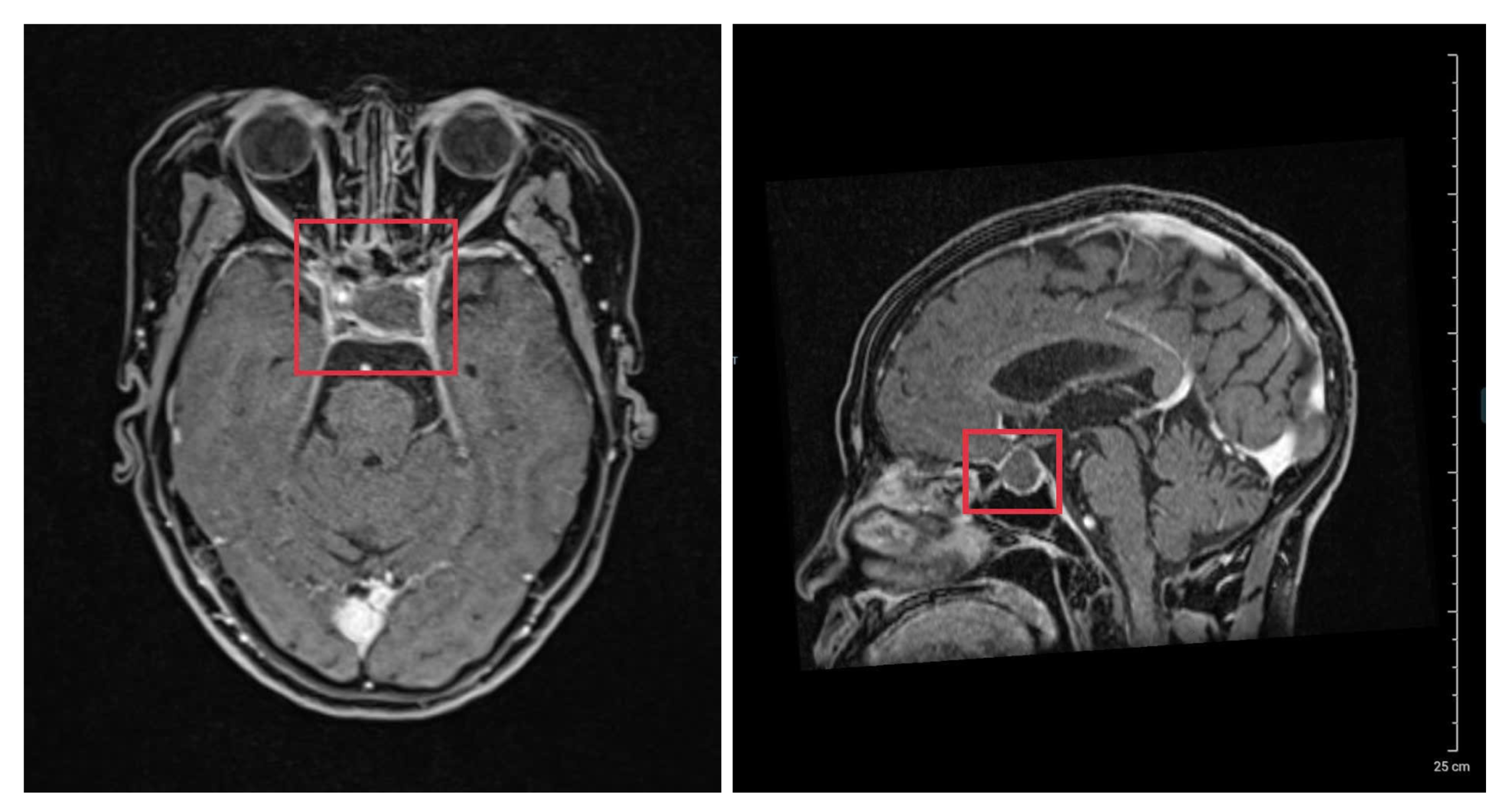
Vừa qua, khoa Phẫu thuật Thần kinh – Cột sống, BVĐK Thái Bình đã tiếp nhận bệnh nhân N.T.H (1964) trong tình trạng đau đầu, chóng mặt và suy kiệt. Kết quả chụp cộng hưởng từ (MRI) sọ não xác định bệnh nhân có khối u tuyến yên.
Các bác sĩ xác định, đây là một ca bệnh rất phức tạp do bệnh nhân có tiền sử tai biến mạch máu não tới 4 lần để lại di chứng yếu nửa người. Cùng với đó, khối u tuyến yên nằm sâu tại vùng nền sọ, bao quanh bởi mạng lưới mạch máu chằng chịt và các dây thần kinh thị giác quan trọng. Nếu không được phẫu thuật kịp thời để loại bỏ khối u, tình trạng chèn ép sẽ khiến bệnh nhân bị suy tuyến yên ngày càng nặng. Điều này không chỉ gây rối loạn nội tiết nghiêm trọng mà còn ảnh hưởng trực tiếp đến các chức năng sống, khiến sức khỏe bệnh nhân suy kiệt nhanh chóng.

Kỹ thuật hiện đại: Không mở sọ – Không để lại sẹo
Thay vì phương pháp mổ mở truyền thống đầy rủi ro, các bác sĩ đã quyết định thực hiện Phẫu thuật nội soi qua đường mũi. Đây là kỹ thuật ít xâm lấn tiên tiến nhất hiện nay với nhiều ưu điểm vượt trội:
- Tiếp cận tự nhiên: Đi qua đường mũi, không cần mở hộp sọ.
- Độ chính xác tuyệt đối: Hệ thống camera nội soi độ phóng đại lớn giúp bác sĩ bóc tách khối u an toàn giữa “trận đồ” mạch máu, thần kinh.
- Hồi phục thần tốc: Bệnh nhân ít đau, không để lại sẹo thẩm mỹ và sớm xuất viện.

Bs. Đồng Tiến Phúc – Khoa Phẫu thuật Thần kinh – Cột sống cho biết: “Cái khó nhất là không gian thao tác rất hẹp, sát động mạch cảnh và dây thần kinh thị giác. Tuy nhiên, bằng sự hỗ trợ của trang thiết bị hiện đại, chúng tôi đã loại bỏ khối u thành công, bảo vệ an toàn các chức năng sống cho bệnh nhân.” – Bs. Đồng Tiến Phúc chia sẻ.
Khẳng định vị thế y tế tỉnh nhà
Phẫu thuật nội soi u tuyến yên là một trong những kỹ thuật thách thức nhất trong ngoại khoa thần kinh, đòi hỏi phẫu thuật viên phải có kinh nghiệm dày dặn để thao tác chính xác giữa “trận đồ” mạch máu và dây thần kinh vùng nền sọ.
Việc triển khai thành công kỹ thuật này đưa BVĐK Thái Bình trở thành một trong số ít bệnh viện tuyến tỉnh trong khu vực làm chủ được quy trình phức tạp vốn trước đây chỉ thực hiện tại tuyến Trung ương. Điều này giúp người dân trong tỉnh và các tỉnh lân cận không phải chuyển lên tuyến trên điều trị, giúp tiết kiệm thời gian và chi phí đi lại.

Các bác sĩ cũng khuyến cáo: U tuyến yên là bệnh lý tiến triển âm thầm nhưng có thể gây ra những hệ lụy nghiêm trọng nếu không được phát hiện sớm. Người dân cần đặc biệt lưu ý khi xuất hiện các triệu chứng như:
- Đau đầu kéo dài không rõ nguyên nhân
- Thị lực giảm sút (nhìn mờ, thu hẹp tầm nhìn)
- Rối loạn nội tiết (mệt mỏi vô cớ, thay đổi cân nặng đột ngột)
Việc thăm khám định kỳ và thực hiện chẩn đoán hình ảnh hiện đại như chụp MRI sọ não là “chìa khóa” để phát hiện bệnh ở giai đoạn sớm./.
PHÒNG CTXH
- Yêu cầu báo giá: Cung cấp dịch vụ sửa chữa máy tính siêu âm Affniti 50 của Trung tâm tim mạch.
- Lan tỏa nghĩa cử cao đẹp – Sinh viên y dược tiên phong trong phong trào hiến máu tình nguyện
- Yêu cầu báo giá: Mua sắm trang thiết bị để triển khai đề án phát triển kỹ thuật cao.
- Họp hội đồng quản lý chất lượng
- Thư mời cung cấp thông số kỹ thuật và báo giá: BVĐK Thái Bình kính mời các hãng sản xuất, nhà cung cấp tại Việt Nam quan tâm, cung cấp thông số kỹ thuật và báo giá các thiết bị y tế chuyên dùng.
















